U xơ tử cung
5 min read
U xơ cơ tử cung (leiomyoma) là khối u lành tính của cơ trơn và mô liên kết tử cung, phụ thuộc estrogen-progesterone để phát triển.
Bệnh sinh
Phần tiêu đề “Bệnh sinh”- ER/PR dương tính: Tế bào u xơ có thụ thể ER-α và PR; Progesterone thúc đẩy phân bào và sinh ECM.
- Growth factors: EGF, IGF-1… tăng cao, kích thích tăng trưởng tế bào u.
Yếu tố nguy cơ
Phần tiêu đề “Yếu tố nguy cơ”- Tuổi: Tăng đến tiền mãn kinh, giảm sau mãn kinh.
- Di truyền: Đột biến MED12, trisomy 12, đảo đoạn 12q, 6p…
- Nội tiết/chuyển hóa: Béo phì, kháng insulin, tăng lipid, tăng huyết áp.
- Gia đình: Mẹ/chị em gái có u xơ.
Yếu tố bảo vệ
Phần tiêu đề “Yếu tố bảo vệ”- Đa sinh.
- Vận động thể lực.
- Ăn cá, rau xanh, vitamin A động vật.
Phân loại
Phần tiêu đề “Phân loại”Hình ảnh “Phân loại FIGO 2011”.

Bảng “Phân loại u xơ tử cung” - FIGO 2011.
| Phân loại FIGO 2011 | Mô tả |
|---|---|
| S (Submucosal) Dưới niêm mạc | 0 Có cuống, hoàn toàn trong lòng tử cung 1 < 50% trong cơ 2 ≥ 50% trong cơ (inferred) |
| O (Other) Khác | 3 Tiếp xúc nội mạc, 100% trong cơ 4 Trong cơ 5 Dưới thanh mạc, ≥ 50% trong cơ 6 Dưới thanh mạc, < 50% trong cơ 7 Dưới thanh mạc, có cuống 8 Khác: Ghi rõ (vd: cổ tử cung…) |
| H (Hybrid leiomyomas) Tiếp xúc đồng thời thanh và niêm mạc | Thể hiện bằng 2 con số: - Số thứ nhất: Liên quan niêm mạc (dùng mã S) - Số thứ hai: Liên quan thanh mạc (dùng mã O) Ví dụ: 2-5 = Dưới thanh mạc + dưới niêm mạc (cả hai ≥ 50% trong cơ) |
Chẩn đoán
Phần tiêu đề “Chẩn đoán”Lâm sàng
Phần tiêu đề “Lâm sàng”Cơ năng: Cường/rong kinh, thống kinh, đau hạ vị, chèn ép bàng quang/niệu quản/trực tràng, thiếu máu.
Thực thể: Tử cung to, khối cứng, di động kém, sốt (thoái hóa)
Cận lâm sàng
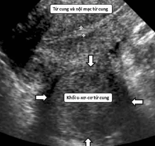
Phần tiêu đề “Cận lâm sàng”Siêu âm thang xám: Khối giảm âm, giới hạn rõ, bóng giảm âm sau.
Hình ảnh “U xơ tử cung trên siêu âm”.

Hình ảnh “Adenomyosis trên siêu âm”.

Hình ảnh “Leiomyosarcoma trên siêu âm”.

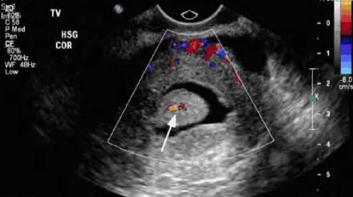
Doppler: Mạch ngoại vi u xơ; Phân biệt với polyp (mạch trung tâm) và adenomyosis (mạch nội vi).
Hình ảnh “U xơ tử cung trên siêu âm Doppler”.

Hình ảnh “Adenomyosis trên siêu âm Doppler”.

Siêu âm 4D/đàn hồi: Đánh giá JZ, độ cứng.
Hình ảnh “Adenomyosis trên siêu âm đàn hồi”.

Siêu âm bơm nước: Với u xơ dưới niêm mạc.
Hình ảnh “U xơ tử cung FIGO 0 trên SIS”.

Hình ảnh “Phân biệt polyp và u xơ tử cung FIGO 1 bằng Doppler”.

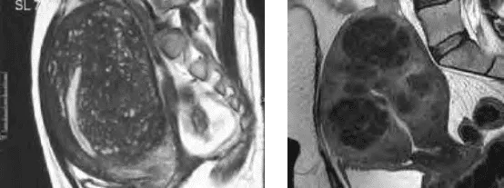
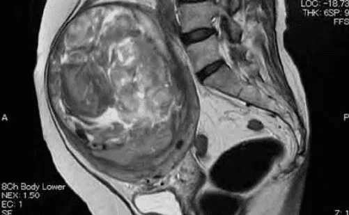
MRI: Phân biệt adenomyosis (JZ dày > 40%, tín hiệu hỗn hợp) với u xơ (tín hiệu đồng nhất giảm trên T2W).
Hình ảnh “MRI của adenomyosis và u xơ tử cung”.

Hình ảnh “Leiomyosarcoma trên MRI”.

Chẩn đoán phân biệt
Phần tiêu đề “Chẩn đoán phân biệt”- Bệnh tuyến cơ tử cung (Adenomyosis).
- Tử cung to do có thai.
- Polyp nội mạc tử cung (u xơ dưới niêm mạc).
- Khối u buồng trứng (u xơ dưới thanh mạc có cuống).
- Leiomyosarcoma: Sarcoma tử cung được chẩn đoán xác định dựa trên giải phẫu bệnh…
Biến chứng
Phần tiêu đề “Biến chứng”- Xuất huyết: Cường/rong kinh (30% chỉ định can thiệp).
- Chèn ép: Bàng quang, niệu quản (thận ứ nước), trực tràng, tĩnh mạch chủ dưới.
- Thoái hóa/u xoắn: Đau cấp, sốt, tăng bạch cầu.
- Hiếm muộn: Dưới niêm mạc, biến dạng lòng tử cung.
- Thai kỳ: Ngôi bất thường, rau tiền đạo, bong non, sinh non
Điều trị
Phần tiêu đề “Điều trị”Không can thiệp
Phần tiêu đề “Không can thiệp”Theo dõi triệu chứng và kích thước mỗi 6-12 tháng (sau mãn kinh 3-6 tháng) nếu không triệu chứng.
Nội khoa
Phần tiêu đề “Nội khoa”Bảng “Các phương pháp nội khoa điều trị u xơ”.
| Phương pháp nội khoa điều trị u xơ | Mục tiêu | Ghi chú |
|---|---|---|
| Tranexamic acid | Giảm cường kinh | 250-500 mg x 3 lần/ngày; Chống chỉ định tràn khí màng phổi/thuyên tắc |
| COC | Giảm máu kinh | Không ảnh hưởng khối u |
| Progestin (LNG-IUS, implant) | Tạo teo nội mạc, giảm máu | LNG-IUS không giảm thể tích u |
| GnRHa | Giảm > 50% thể tích u | Chuẩn bị trước mổ 1-3 tháng; Hạn chế < 6 tháng, có flare-up |
| GnRHa add-back (E/P) | Hạn chế tác dụng phụ | Chưa chứng minh giảm khối u thêm |
| GnRH antagonist | Giảm estrogen nhanh | Tránh flare-up; Hiệu quả tương đương GnRHa |
| Aromatase inhibitors | ức chế tổng hợp estrogen | Letrozole 12 tuần; Ít tác dụng phụ hơn GnRHa |
| SPRMs (Ulipristal acetate) | Giảm chảy máu, thu nhỏ u | 5 mg/ngày, 3 tháng; Gián đoạn 2 tháng ≤ 8 đợt; Theo dõi chức năng gan |
| Mifepristone | Giảm thể tích u | 2.5 mg/ngày, 3-6 tháng; Không có đăng ký chính thức |
Ngoại khoa
Phần tiêu đề “Ngoại khoa”Bóc u xơ:
- Nội soi buồng tử cung: Submucosal L0-L2 ≤ 5 cm.
- Nội soi ổ bụng: Subserosal/intramural ≤ 10 cm.
- Mổ mở: U lớn, lan tỏa, đa nhân.
Cắt tử cung:
- Nghi ngờ ác tính, u đa nhân khó bóc, đủ con hoặc mong muốn bỏ tử cung.
- Đường nội soi, âm đạo hoặc mở tùy tổn thương & BN.
Xâm lấn tối thiểu: UAE, HIFU, RFA.
Tài liệu tham khảo
Phần tiêu đề “Tài liệu tham khảo”- Trường ĐH Y Dược TP. HCM (2020) - Team-based learning
- Bệnh viện Từ Dũ (2022) - Phác đồ điều trị Sản Phụ khoa