Lạc nội mạc tử cung
9 min read
Lạc nội mạc tử cung là bệnh phụ khoa mãn tính, dễ tái phát, trong đó có sự hiện diện của mô giống mô tuyến ở nội mạc tử cung và mô đệm tùy hành nằm ngoài buồng tử cung.
Lạc nội mạc tử cung có thể ở phúc mạc, buồng trứng, lạc nội mạc sâu, bệnh tuyến cơ-tử cung (adenomyosis). Đây là chẩn đoán phân biệt quan trọng nhất của u xơ-cơ tử cung trong thực hành hàng ngày.
Tần suất mắc bệnh không được biết chính xác, ước tính khoảng 10% phụ nữ độ tuổi sinh sản bị lạc nội mạc tử cung. Trong số BN lạc nội mạc tử cung có khoảng 40-82% phụ nữ bị đau vùng chậu mạn tính, 50% phụ nữ lạc nội mạc tử cung bị ảnh hưởng gây hiếm muộn vô sinh, 17-48% có khối lạc nội mạc tử cung ở buồng trứng.
Mô học
Phần tiêu đề “Mô học”Tên gọi “lạc nội mạc tử cung trong cơ” quá đơn giản, gây nhiều nhầm lẫn và không phản ánh hết sinh bệnh học của adenomyosis. Hai đặc trưng mô bệnh học:
- Hiện diện của mô tuyến nội mạc và mô đệm trong lớp cơ tử cung.
- Tăng sản và tăng dưỡng của cơ tử cung xung quanh.
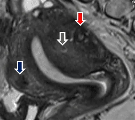
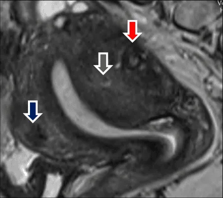
Hình ảnh “Cộng hưởng từ của adenomyosis”.

Tổn thương có thể khu trú tạo giả u xơ, hoặc kết hợp với u xơ thật, khó phân biệt.
Hình ảnh “Kết hợp adenomyosis và u xơ tử cung”.

Bệnh sinh
Phần tiêu đề “Bệnh sinh”Thuyết vi sang chấn và tái tạo (TIAR): Vi sang chấn → xâm nhập tế bào gốc → viêm → cường estrogen cục bộ → đề kháng progesterone → co thắt nghịch thường → tăng vi sang chấn… (vòng Leyendecke).
Hình ảnh “Sơ đồ mô hình TIAR”.

Hình ảnh “Thay đổi biểu hiện gene của thụ thể steroid (mô hình TIAR)”.

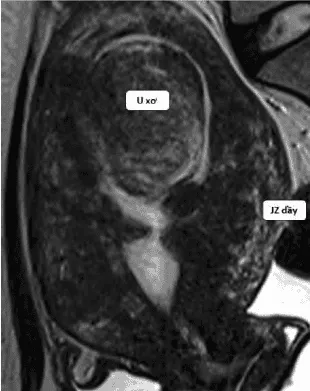
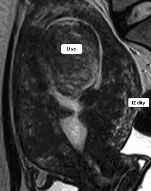
Thuyết tử cung hai nguồn gốc: Tử cung phát triển từ hai nguồn Muller và trung mô, gặp nhau tại vùng kết nối (JZ). Adenomyosis xuất phát từ chồng lấn bất thường tại JZ.
Hình ảnh “Tử cung bình thường trên MRI”.

Hình ảnh “Adenomyosis trên MRI”.

Yếu tố nguy cơ
Phần tiêu đề “Yếu tố nguy cơ”- Phụ nữ chưa sinh, chu kỳ ngắn, hành kinh dài, cường kinh, dậy thì sớm.
- Tiền sử gia đình có lạc nội mạc.
- Tắc nghẽn đường thoát máu kinh.
- Chế độ ăn nhiều thịt đỏ, chất béo, thuốc lá, cồn, caffeine.
Chẩn đoán
Phần tiêu đề “Chẩn đoán”Lâm sàng
Phần tiêu đề “Lâm sàng”Adenomyosis thường ồn ào triệu chứng: Thống kinh, xuất huyết tử cung bất thường, hiếm muộn.
Thống kinh: Đau trước và trong kỳ kinh, kéo dài sau sạch kinh, có thể đau không theo chu kỳ hoặc sau giao hợp. Tử cung to, cứng, ít di động, chạm đau. Giai đoạn viêm → giai đoạn thần kinh-sinh mạch → giai đoạn nhạy cảm trung ương.
Xuất huyết tử cung bất thường (AUB-A): Cường estrogen cục bộ và đề kháng progesterone gây rong huyết.
Hình ảnh “Adenomyosis qua nội soi buồng tử cung”.

Hiếm muộn: Cường estrogen và đề kháng progesterone ảnh hưởng làm tổ và kết quả ART.
Khám thực thể:
- Lạc nội mạc sâu: Nốt xanh tím, sờ đau, nề cứng.
- Lạc nội mạc buồng trứng: Khối cạnh tử cung.
- Adenomyosis: Tử cung to, tròn, cứng như khối cầu.
Cận lâm sàng
Phần tiêu đề “Cận lâm sàng”Siêu âm ngả âm đạo:
- Nang lạc nội mạc: Phản âm kém, kính mờ.
- Adenomyosis khu trú hoặc lan tỏa: Phản âm sọc, vùng âm kém.
MRI: Phân biệt adenomyosis vs u xơ, đánh giá lạc nội mạc sâu.
Dấu ấn sinh học: CA125 có thể tăng nhưng không đặc hiệu, không khuyến cáo để chẩn đoán.
Khác: Nội soi tiêu hóa/niệu quản… khi nghi ngại xâm lấn.
Chẩn đoán phân biệt
Phần tiêu đề “Chẩn đoán phân biệt”- U nang buồng trứng không nội mạc.
- U xơ tử cung.
- Lạc nội mạc tử cung xâm lấn.
Phân độ
Phần tiêu đề “Phân độ”Hình ảnh “Phân độ lạc nội mạc tử cung (ASRM hiệu chỉnh)”.

Điều trị
Phần tiêu đề “Điều trị”Hình ảnh “Lưu đồ chẩn đoán và xử trí lạc nội mạc tử cung - Bệnh viện Từ Dũ”.

Nguyên tắc
Phần tiêu đề “Nguyên tắc”Không triệu chứng: Chỉ theo dõi, không can thiệp.
Cá thể hóa điều trị dựa trên vấn đề chính của người bệnh:
- Đau bụng kinh (thống kinh).
- Xuất huyết tử cung bất thường (AUB-A).
- Hiếm muộn - vô sinh.
Thống kinh
Phần tiêu đề “Thống kinh”Áp dụng khi thống kinh nặng, ảnh hưởng chất lượng sống và không kèm hiếm muộn. Nếu có hiếm muộn, chỉ điều trị triệu chứng đau, ưu tiên kỹ thuật hỗ trợ sinh sản.
Hình ảnh “Lưu đồ chẩn đoán và xử trí lạc nội mạc tử cung và đau - Bệnh viện Từ Dũ”.

Nội khoa
Phần tiêu đề “Nội khoa”Giảm đau bước 1:
Bảng “Giảm đau bước 1”.
| Loại thuốc | Liều dùng & cách dùng | Hiệu quả | Chống chỉ định/Tác dụng phụ |
|---|---|---|---|
| NSAIDs | Ibuprofen 400 mg mỗi 4-6 h Naproxen 250 mg mỗi 8-12 h | Giảm viêm, co thắt, giảm thống kinh | Loét dạ dày, suy thận, hen nặng, tim mạch |
| COCs | EE 20-30 µg + progestin, 1 viên/ngày (liên tục hoặc chu kỳ) Miếng dán 1 miếng/tuần | Giảm sinh nội mạc, giảm COX-2, giảm đau | Rong huyết, buồn nôn, căng vú, tăng cân, mụn |
| Progestin | Dienogest 2 mg/ngày LNG-IUS 5 năm Norethindrone 5-10 mg/ngày | Teo nội mạc, giảm đau và cường kinh | Rong huyết thất thường, mụn, ảnh hưởng kinh nguyệt |
Giảm đau bước 2:
Bảng “Giảm đau bước 2”.
| Loại thuốc | Liều dùng | Hiệu quả | Tác dụng phụ/Lưu ý |
|---|---|---|---|
| GnRH đồng vận | Goserelin 3.6 mg mỗi 28 ngày tiêm dưới da Leuprolide 3.75 mg mỗi 28 ngày tiêm bắp | Ức chế HPA → giảm estrogen toàn thân | Bốc hỏa, loãng xương; Cần add-back therapy |
| AI | Letrozole 2.5 mg/ngày Anastrozole 1 mg/ngày | Giảm estrogen cục bộ | Giảm mật độ xương, bốc hỏa, mệt mỏi |
| Danazol/Gestrinone | Danazol 200 mg x2/ngày Gestrinone 2.5 mg x2/ngày | Khi thất bại các liệu pháp trên | Vô kinh, nam hóa, rối loạn lipid, tác dụng androgen |
NSAIDs:
- Cơ chế: Ức chế COX-2 → giảm PGE₂ → giảm viêm và co thắt.
- Liều dùng: Ibuprofen 400 mg mỗi 4-6 giờ; Naproxen 250 mg mỗi 8-12 giờ.
- Chống chỉ định: Loét dạ dày, suy thận, hen phế quản nặng, bệnh tim mạch.
COCs (Estrogen-Progestin):
- Cơ chế: Ức chế phát triển nội mạc, giảm COX-2.
- Liều dùng: EE 20-30 µg + progestin, 1 viên/ngày liên tục hoặc theo chu kỳ; Miếng dán mỗi tuần 1 miếng.
Aromatase inhibitors (AIs):
- Chỉ định: Đau tái phát sau NSAIDs/COCs; Phối hợp khi cường estrogen cục bộ nặng.
- Liều dùng: Letrozole 2.5 mg/ngày, Anastrozole 1 mg/ngày.
- Tác dụng phụ: Giảm mật độ xương, bốc hỏa, mệt mỏi.
Đồng vận GnRH:
- Cơ chế: ức chế trục HPA → giảm estrogen toàn thân.
- Phối hợp: Luôn dùng add-back estrogen/progestin để bảo vệ xương.
- Liều dùng: Goserelin 3.6 mg tiêm bắp mỗi 28 ngày; Leuprolide 3.75 mg TM mỗi 28 ngày.
- Hạn chế: Chỉ dùng tối đa 6 tháng nếu không có add-back; Bốc hỏa, loãng xương.
Progestin tại chỗ & toàn thân:
- Progestin uống: Dienogest 2 mg/ngày; Norethindrone 5-10 mg/ngày.
- IUS-LNG: Đặt 1 lần, tác dụng 5 năm.
- Tác dụng: Teo nội mạc, giảm viêm; LNG-IUS còn giảm cường kinh.
Ngoại khoa
Phần tiêu đề “Ngoại khoa”Chỉ định:
- Thất bại tối đa với mọi liệu pháp nội khoa (đau vẫn nặng, u nang lạc nội mạc tái phát).
- Tổn thương adenomyosis khu trú gây đau nặng hoặc u to > 5 cm (đặc biệt u nang buồng trứng lạc nội mạc > 5-10 cm).
- Đa dính vùng chậu nặng, ảnh hưởng cơ năng.
- Bệnh nhân mong muốn điều trị triệt để, không còn nhu cầu sinh đẻ.
Phương pháp:
- Nội soi ổ bụng: Cắt hoặc đốt tổn thương phúc mạc; Bóc nang lạc nội mạc buồng trứng; Cắt/gỡ adenomyosis khu trú (chèn RMN xác định vị trí).
- Mở bụng: Khi tổn thương lan tỏa, u > 10 cm, dính ruột - bàng quang phức tạp; Ưu tiên đường mổ cũ nếu đã từng mổ buồng trứng/tử cung.
- Phẫu thuật Osada: Giảm khối adenomyosis lan tỏa. Bảo tồn tối đa cơ tử cung, khâu phục hồi cân cơ.
- Cắt tử cung: Cuối cùng, khi không còn nhu cầu sinh đẻ và thất bại mọi lựa chọn khác. Có thể kèm lấy buồng trứng hoặc giữ lại buồng trứng tùy chỉ định.
Điều trị nội tiết liên quan:
- Không chỉ định dùng NSAIDs/COCs/Đồng vận GnRH… để chuẩn bị trước mổ.
- Dự phòng tái phát sau phẫu thuật: - Điều trị ≥ 6 tháng với: IUS-LNG (levonorgestrel), Dienogest 2 mg/ngày, COCs liên tục. - Thời gian khuyến cáo: 18-24 tháng nhằm ngăn ngừa tái phát đau và tổn thương.
Xuất huyết tử cung
Phần tiêu đề “Xuất huyết tử cung”- Xử lý thiếu máu, ổn định huyết động trước khi can thiệp.
- Đầu tay: COCs hoặc LNG-IUS.
- Thứ hai: Dienogest hoặc progestin uống.
- Không ưu tiên: GnRH đồng vận, AI (tác dụng phụ nhiều).
Hiếm muộn
Phần tiêu đề “Hiếm muộn”Hình ảnh “Lưu đồ chẩn đoán và xử trí lạc nội mạc tử cung và hiếm muộn - Bệnh viện Từ Dũ”.

- Ưu tiên hiếm muộn nếu kèm thống kinh nặng.
- Nội khoa: Không dùng liệu pháp ức chế buồng trứng trước IVF.
- Phẫu thuật: Bóc nang lạc nội mạc độ I-II nếu ảnh hưởng đến chức năng buồng trứng.
- ART: IVF/ICSI khi vòi trứng tổn thương hoặc các biện pháp khác thất bại.
- Chuẩn bị: GnRHa 3-6 tháng trước chuyển phôi có thể cải thiện tỉ lệ thành công.
Tài liệu tham khảo
Phần tiêu đề “Tài liệu tham khảo”- Trường ĐH Y Dược TP. HCM (2020) - Team-based learning
- Bệnh viện Từ Dũ (2022) - Phác đồ điều trị Sản Phụ khoa
- Bộ Y Tế (2019) 5306/QĐ-BYT - Hướng dẫn chẩn đoán và điều trị lạc nội mạc tử cung
- Hội Nội tiết sinh sản và Vô sinh TPHCM (HOSREM) - Hướng dẫn lâm sàng về lạc nội mạc tử cung